
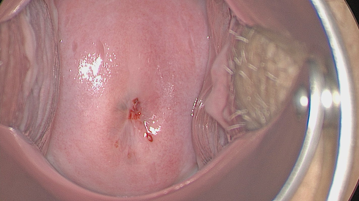
This colpophotogram shows a typical transformation zone type 3 in a 48-year-old gravida 0 with the squamocolumnar junction not visible. History of normal cytology. HPV DNA was not detected. There was no indication for biopsy und histologic clarification.