
Though described in the IFCPC classification as a nonspecific colposcopic criterion, the degree of iodine uptake can provide a useful graduating sign at colposcopy. Colposcopic findings in a 37-year-old gravida 2, para 2 who has experienced contact bleeding for several months are presented. Her smear was reported as class II-a. HPV DNA was not detected. Colposcopy shows partial iodine uptake in a typical T-zone type 2, which is classified as a normal colposcopic finding.

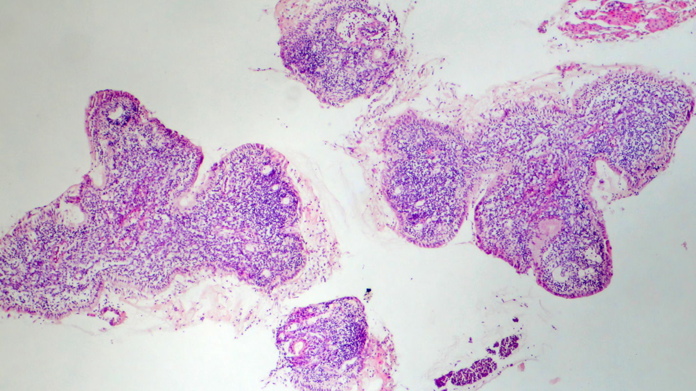
Histopathology of tissue sampled at 6 o’clock by strip biopsy shows normal endocervical crypt (glands) surrounded by normal stromal tissue. The findings are interpreted as normal.