
The delineation of lesion margins from normal squamous epithelium is another useful graduating sign at colposcopy. Colposcopic findings in a 26-year-old gravida 0 who had not been vaccinated against HPV. The smear was reported as class IIID1. High risk HPV DNA and RNA were detected. Colposcopy shows a bright acetowhite lesion between 12 and 2 o’clock in an atypical T-zone type 1. It is not sharply demarcated from adjacent squamous epithelium and is classified as normal colposcopic finding.

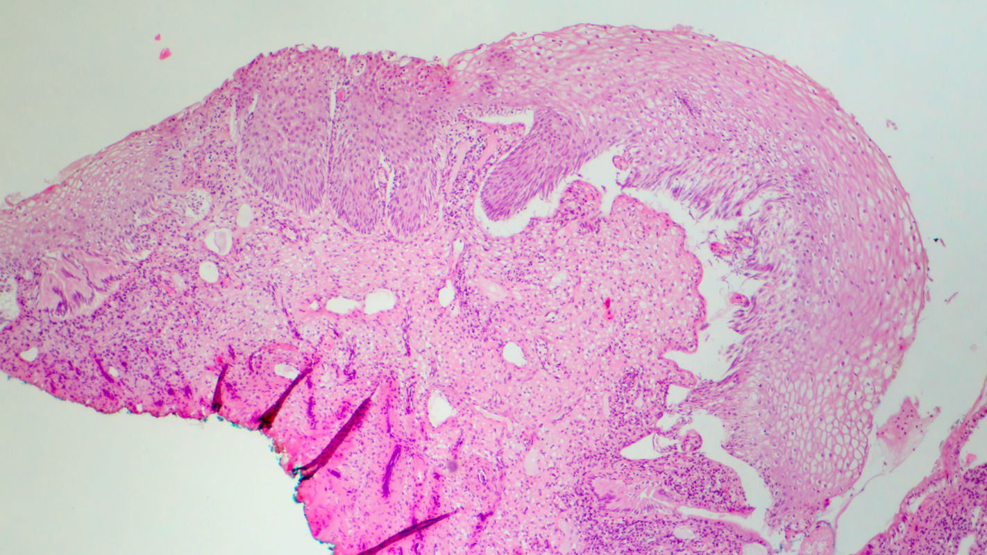
H&E stain of tissue sampled at 12 o’clock by punch biopsy shows normal and metaplastic squamous epithelium at the biopsy site. These findings are interpreted as normal.