
The distance between the ‘dots’ or ‘lines’ in a punctation or mosaic pattern, respectively, is interpreted as a graduating sign. Colposcopic findings in a 29-year-old gravida 1, para 1 with an uneventful history. The smear was reported as class IIID1. High- risk HPV DNA and RNA were detected. Colposcopy shows a fine mosaic pattern between 4 and 7 o’clock in an atypical T-zone type 1, which is classified as a normal colposcopic finding.

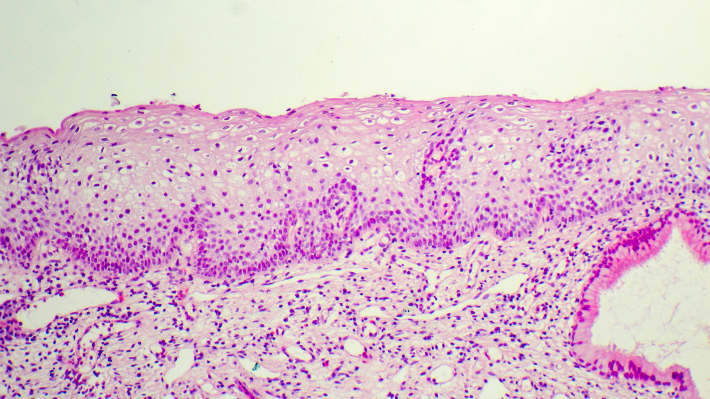
H&E stain of tissue sampled at 5 o’clock by punch biopsy shows squamous epithelium with normal maturation and stromal papillae that rise into the upper third of the epithelium. The findings are interpreted as normal. Papillae containing blood vessels are close together in normal squamous epithelium.