
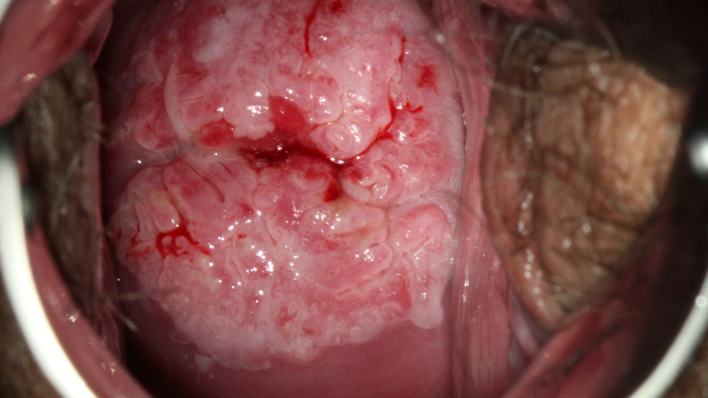
A cobblestone surface pattern seen at colposcopy indicates the presence of high-grade SIL.
Colposcopic findings in a 32-year-old gravida 1, para 1 with an uneventful history. The cervical smear was reported as class IVa-p. high risk HPV DNA and RNA were detected. Colposcopy shows a circular, opaque acetowhite atypical T-zone type 2 with a coarse mosaic at 12–1 o’clock and 5–7 o’clock, which is classified as grade 2 (major change) abnormal colposcopic finding.

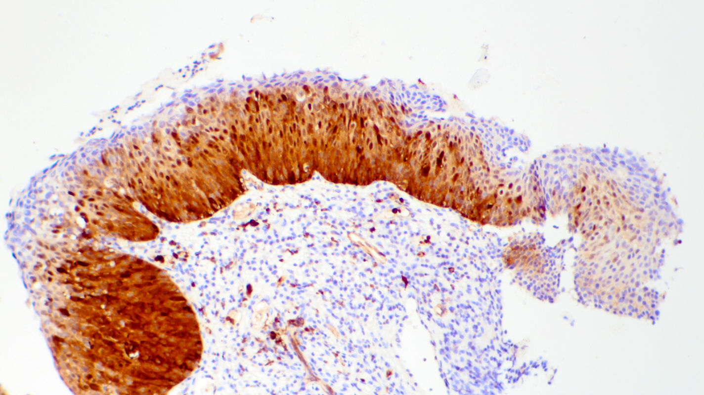
Histopathology of tissue sampled at 6 o’clock by punch biopsy shows atypical squamous epithelium in which expression of the immune markers Ki67 and p16 extends into the highest cell layer. Note the widened rete pegs, which cause the stromal papillae to be spaced farther apart. The histopathologic diagnosis is grade 3 cervical intraepithelial neoplasia (CIN 3).