
An intense, opaque color reaction after the application of acetic acid is a graduating sign that may indicate the presence of invasive cancer.
Colposcopic findings in a 37-year-old gravida 1, para 2 are presented. Her cervical smear was reported as class V-p, and high risk HPV DNA and RNA were detected. The squamous cell carcinoma antigen (SCCA) tumor marker in the serum showed a 7-fold increase to

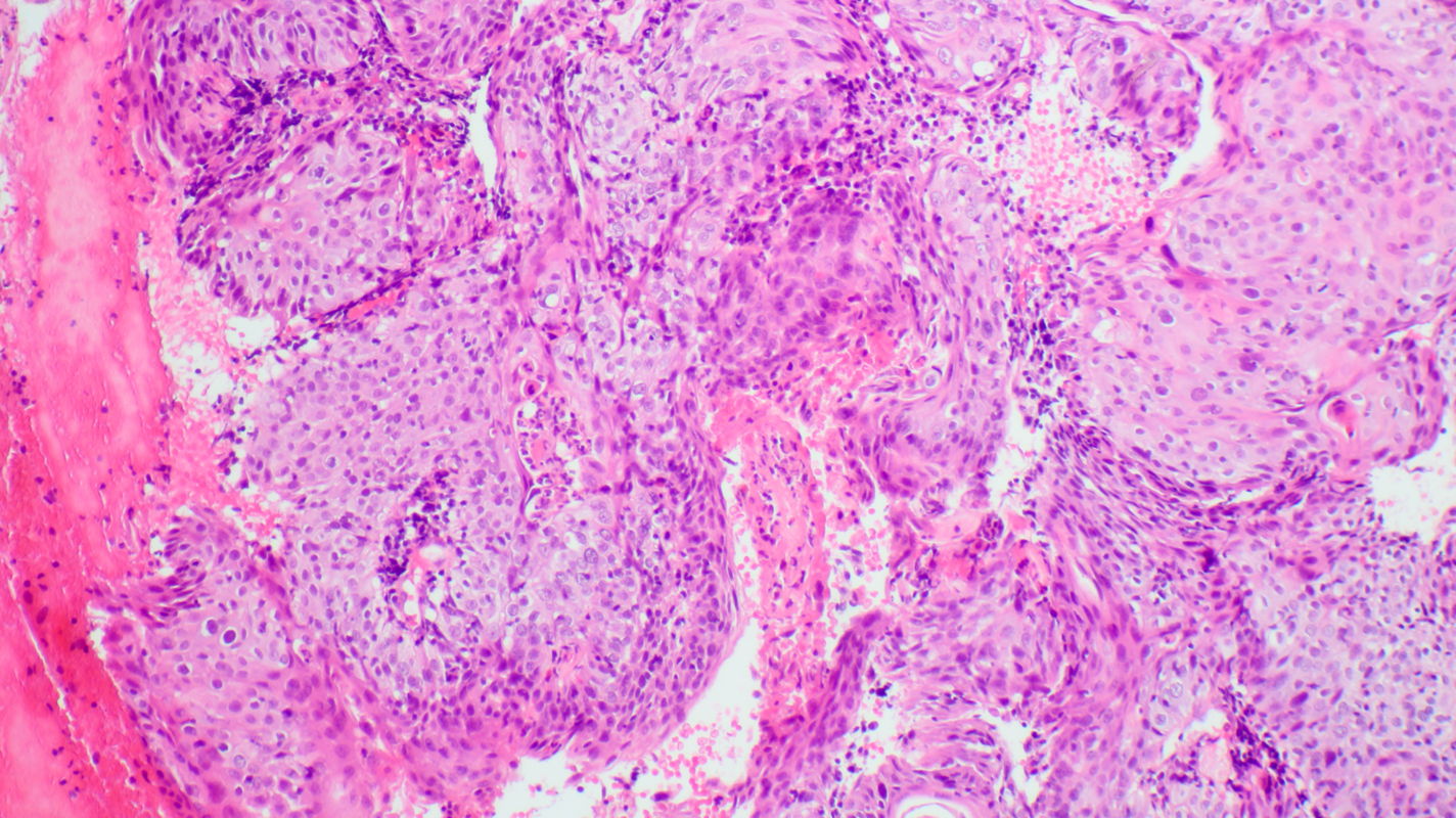
H&E stain of tissue sampled at 12 o’clock by punch biopsy shows aggregates of highly atypical squamous cells with malignancy criteria of anisonucleosis, hyperchromasia, altered nuclear-cytoplasmic ratio, and atypical mitoses. The histopathologic diagnosis is invasive squamous cell carcinoma G2. Laparoscopic lymph node staging classified the disease as FIGO stage IIb pN0, and the patient was treated with primary chemoradiation.