
Regents of the Groot-Kramergild. 1622,
Werner J. van den Valckert
(1585–1635) Amsterdam.
Staatliche Museen, Berlin

White collars are also seen on the uterine cervix: cuffed gland openings identified on the colpophotogram can be reproduced by histology and are rimmed by

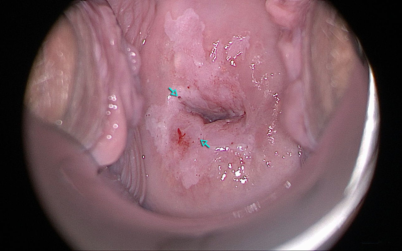
Prominent crypt (gland) openings (arrows) with an opaque acetowhite border are considered pathognomonic for high-grade SIL.
Colposcopic findings in a 28-year-old gravida 0 with no prior history of disease. The smear was assigned to class IIID1, and high risk HPV DNA and RNA were detected. Colposcopy shows a circular acetowhite lesion with opaque, prominent crypt (gland) openings between 6 and 10 o’clock (arrows) in an atypical T-zone type 2, which is classified as grade 2 (major change) abnormal colposcopic finding.

Tissue sampled by loop excision shows the endocervical crypt (gland) orifices (arrows) from 10 o’clock rimmed by atypical squamous epithelium. The cells express high concentrations of Ki67 marker into the middle third of the epithelium and of p16 marker into the upper third of the epithelium.
The diagnosis is grade 2 cervical intraepithelial neoplasia (CIN 2).