
Colposcopic findings in a 29-year-old gravida 0 with no prior history of disease. The smear was reported as class V-p, and HPV 16 was detected. The Spectra A mode (

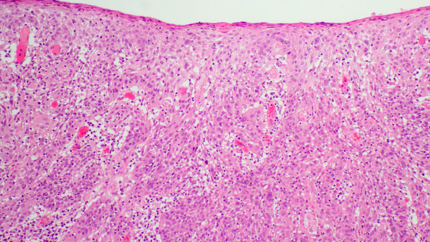
H&E stain of tissue sampled by loop biopsy shows atypical cells that have penetrated the basement membrane and infiltrated the stroma. Blood vessels are clearly visible among the strands of tumor cells and extend almost to the tissue surface.
The diagnosis is undifferentiated invasive squamous cell carcinoma. Following laparoscopic sentinel lymphadenectomy and radical vaginal trachelectomy, the disease was finally staged as pT1b1 pN0 (0/2 sn) G3 L0 V0 Pn0.