
Punctation refers to individual red dots that may appear on the surface of acetowhite epithelium.
Colposcopic findings in a 32-year-old gravida 0 with no prior history of disease. The smear was reported as class IIID2. A non-PCR-based method did not detect HPV DNA. Colposcopy shows an acetowhite lesion with coarse punctation between 12 and 4 o’clock in an atypical T-zone type 2, which is classified as grade 2 (major change) abnormal colposcopic finding.

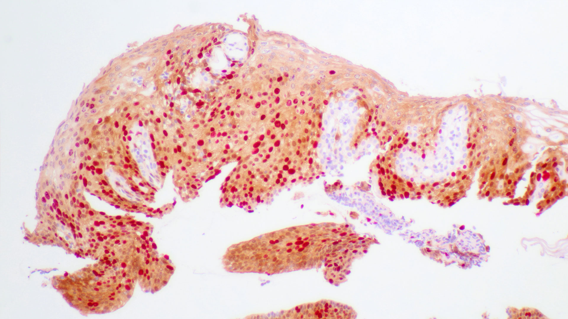
Histopathology of tissue sampled by punch biopsy from the opaque acetowhite lesion at 3 o’clock shows atypical cells that express high concentrations of the Ki67 marker into the middle third of the epithelium and of p16 into the upper third of the epithelium. The stromal papillae and rete pegs are clearly visible and are the histological reflection of the colposcopic phenomenon ‘punctation’. The diagnosis is grade 2 cervical intraepithelial neoplasia

The diagram shows the morphologic basis for the colposcopic finding of punctation. The stromal papillae (yellow arrows) are interposed between the rete pegs (blue arrows) of the epithelium. Inside the stromal papillae, capillary vessels form loops that closely approach the epithelial surface, where they appear as separate red dots. When viewed from above, the capillary loops form a stippled pattern that colposcopists call ‘punctation’. HSIL (right) differs from LSIL (left) in that the rete pegs in neoplastic tissue are widened, causing the dots to be spaced farther apart.