
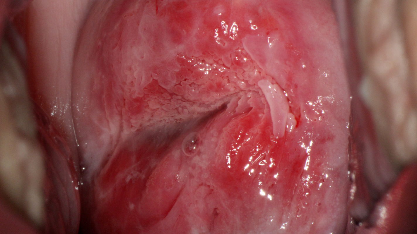
Cervical epithelium with neoplastic changes undergoes a whitish discoloration following the application of 3–5% acetic acid.
Colposcopic findings in a 31-year-old gravida 0 with no prior history of disease. The smear was reported as class IVa-p, and high risk HPV was detected. An acetowhite lesion is visible at 3 o’clock in an atypical T-zone type 1 that borders directly on the squamocolumnar junction and is classified as grade 2 (major change) abnormal colposcopic finding.

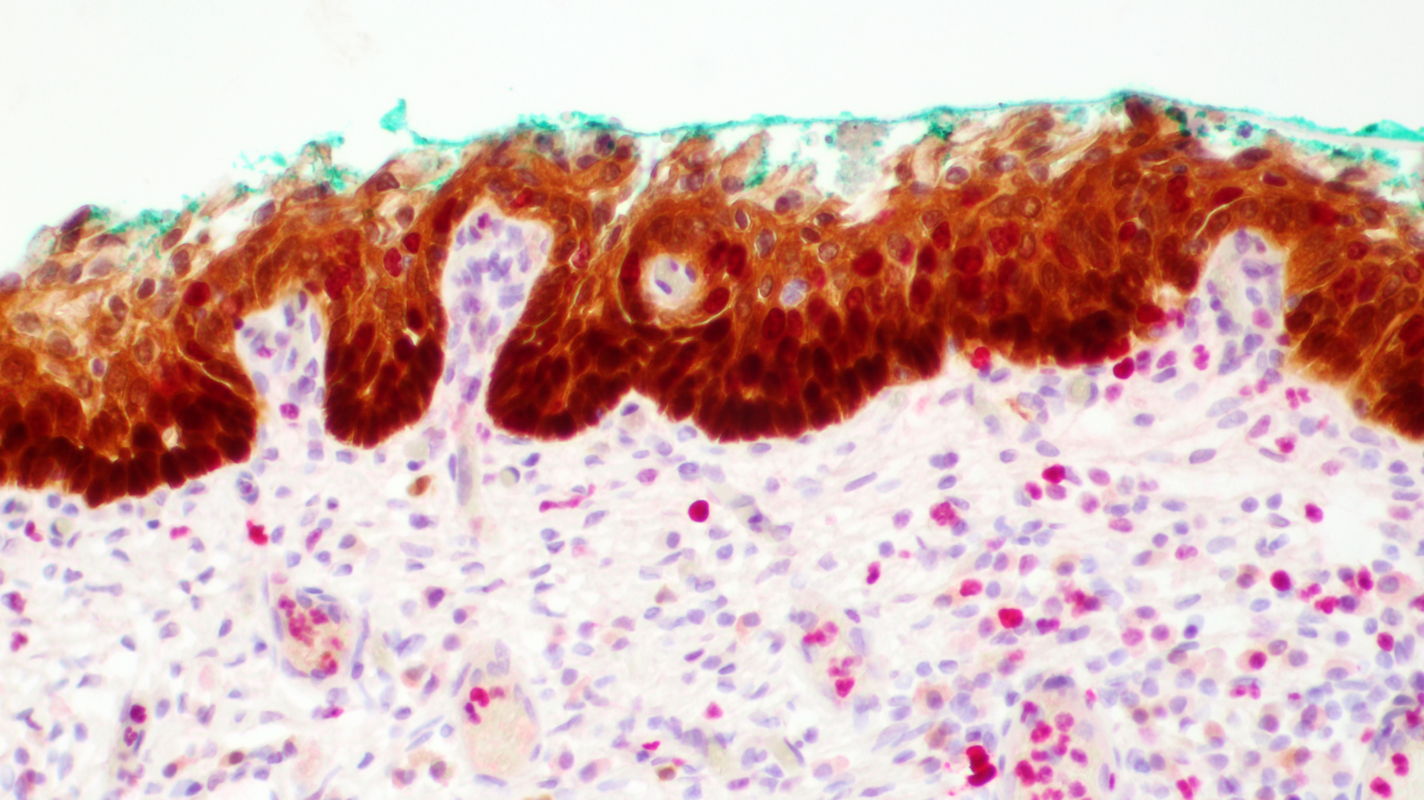
Histopathology of tissue biopsied from the opaque acetowhite lesion at 3 o’clock shows atypical cells that express high concentrations of the markers p16 and Ki67 into the upper third of the epithelium. The diagnosis is grade 3 cervical intraepithelial neoplasia (CIN 3).