
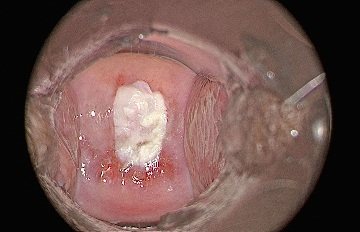
Leukoplakia (‘white patch’) is caused by hyperkeratosis of the squamous epithelium. It is the only colposcopic finding, which must be identified prior to application of acetic acid. This colposcopic image is from a 64-year-old gravida 0 with a fibroid uterus. The smear was reported as class II-p, and HPV was not detected.
Leukoplakia in this case covers the external os and is classified as a nonspecific abnormal colposcopic finding.

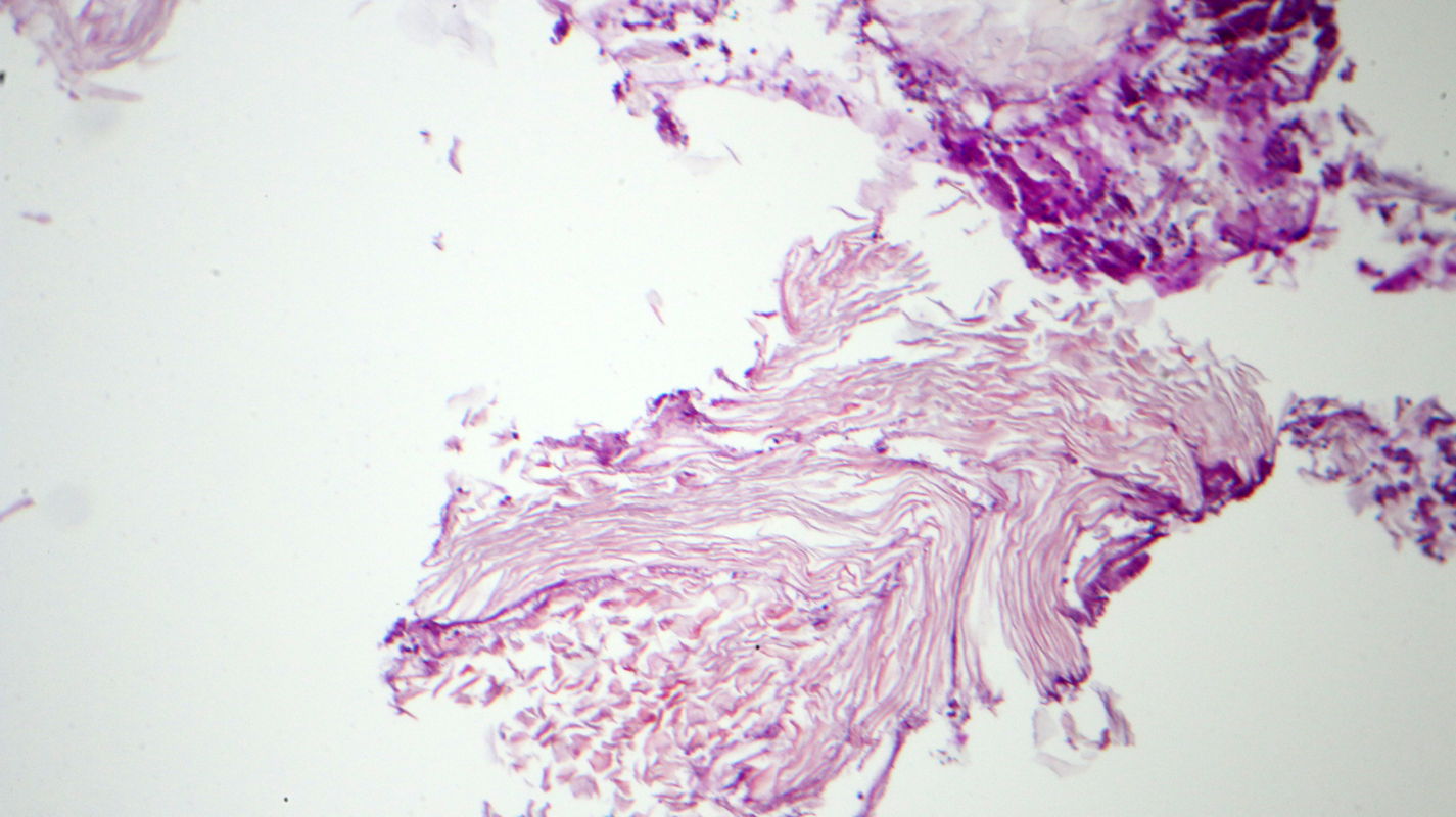
The leukoplakic area was removed by curettage. Histopathology shows superficial hyperkeratosis with heavy fungal colonization, which stains purple in the periodic acid-Schiff (PAS) reaction.