
Normal colposcopic findings are insignificant and indeterminate if the border between squamous and columnar epithelium cannot be visualized. To underline this statement, we show the colposcopic image of a 45-year-old patient with a history of conization for CIN 3 at a time when Sturmdorf sutures were still in use. Cytology revealed normal findings, HPV test was positive for high risk HPV. A normal transformation zone is recognizable; columnar epithelium is not visible due to cervical stenosis.

The ectocervix is iodine-positive.

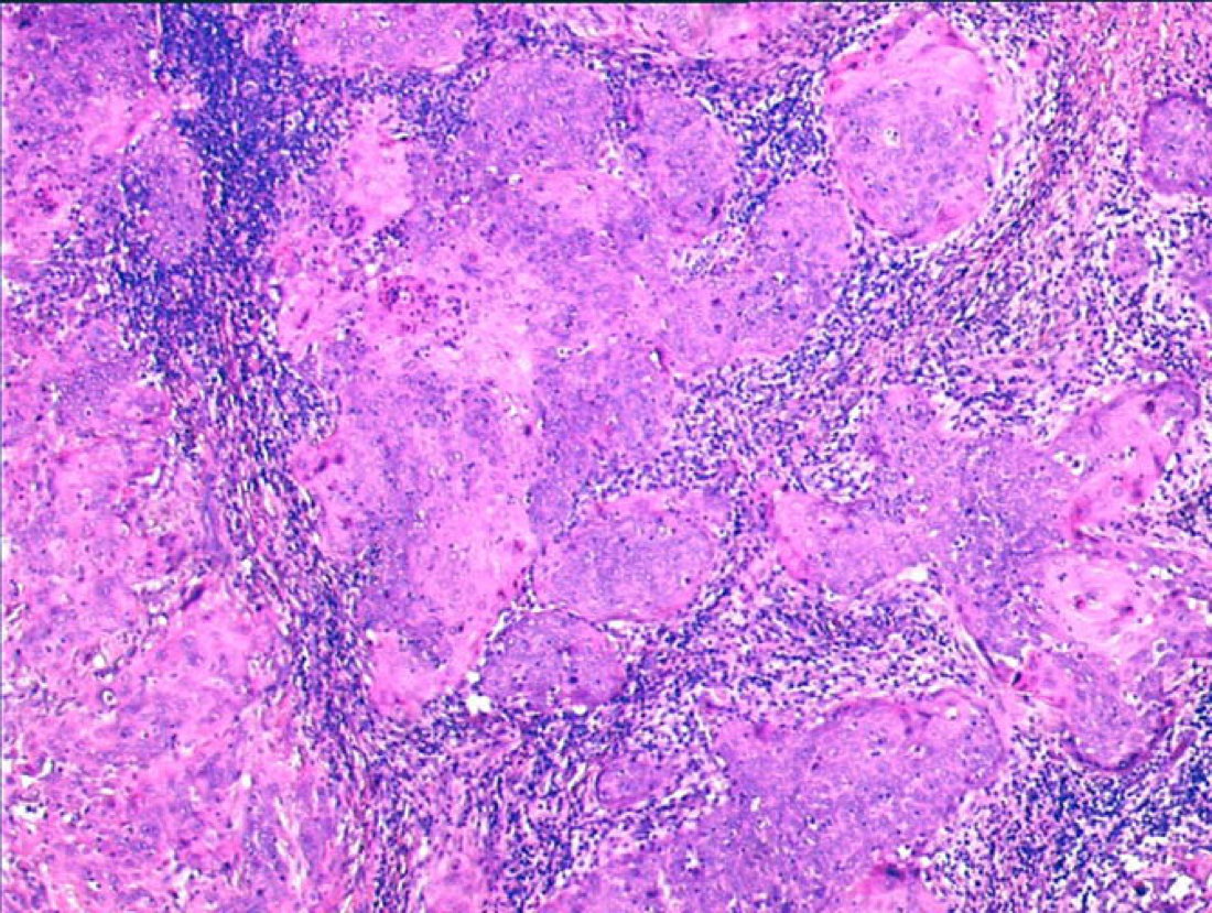
Endocervical curettage was performed and histology showed non-keratinizing squamous cell carcinoma.