Secondary Prevention of Cervical Cancer

Class V-p – Cancer

Squamous cell carcinoma

 

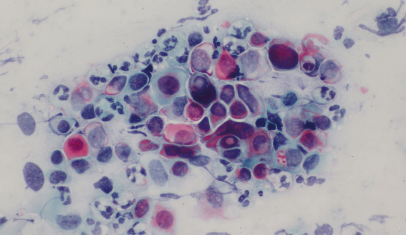
Eosinophilic and basophilic squamous epithelial tumor cells with marked pleomorphism, anisokaryosis and hyperchromasia in a 37-year-old patient.

Eosinophilic and basophilic squamous epithelial tumor cells with marked pleomorphism, anisokaryosis and hyperchromasia in a 37-year-old patient.

 

Atypical transformation zone type 2 with ulceration, bleeding and atypical vessels, suspicious for cancer.

Atypical transformation zone type 2 with ulceration, bleeding and atypical vessels, suspicious for cancer.

 

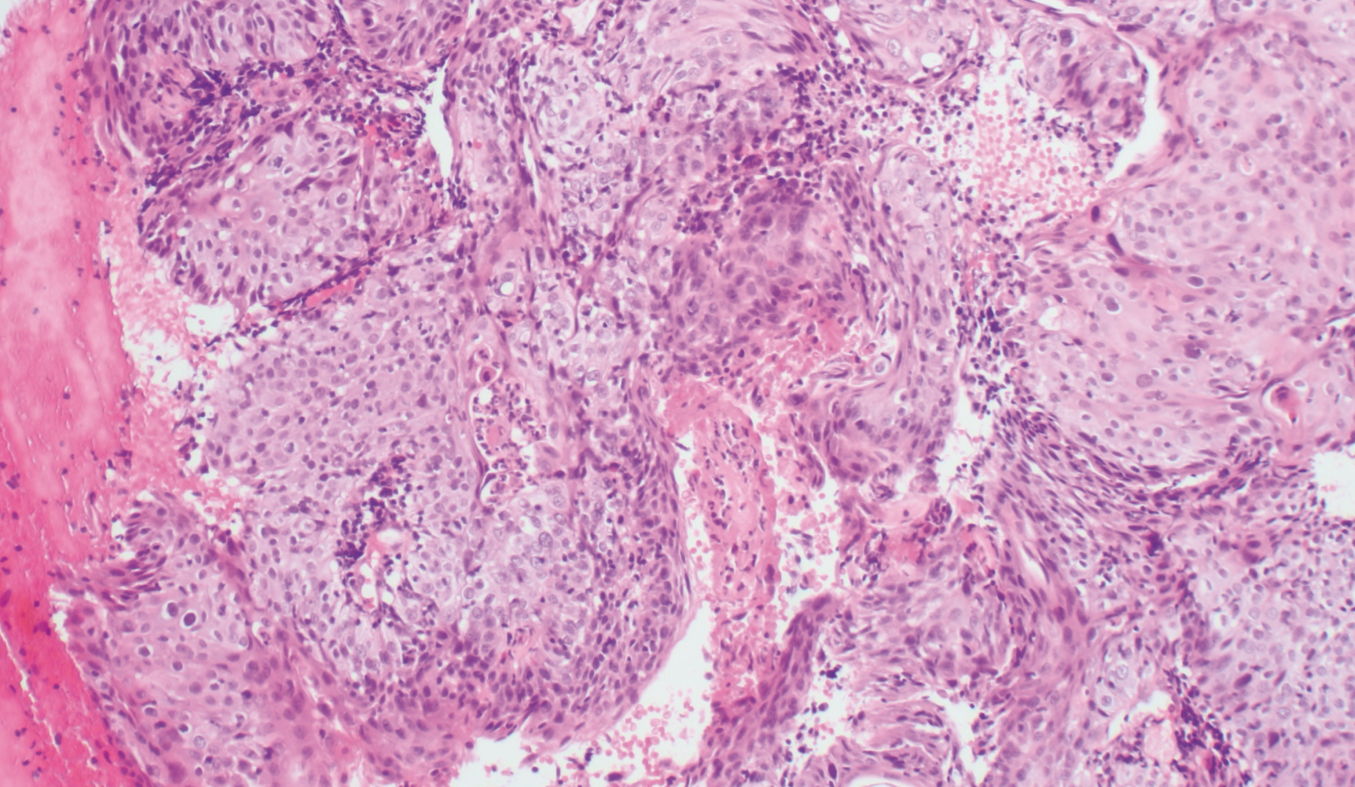
Invasive squamous carcinoma. H&E

Invasive squamous carcinoma. H&E