Secondary Prevention of Cervical Cancer

Class IIID1 – Dysplasia with Potential for Regression

Features of mild dysplasia, analogous to CIN 1

 

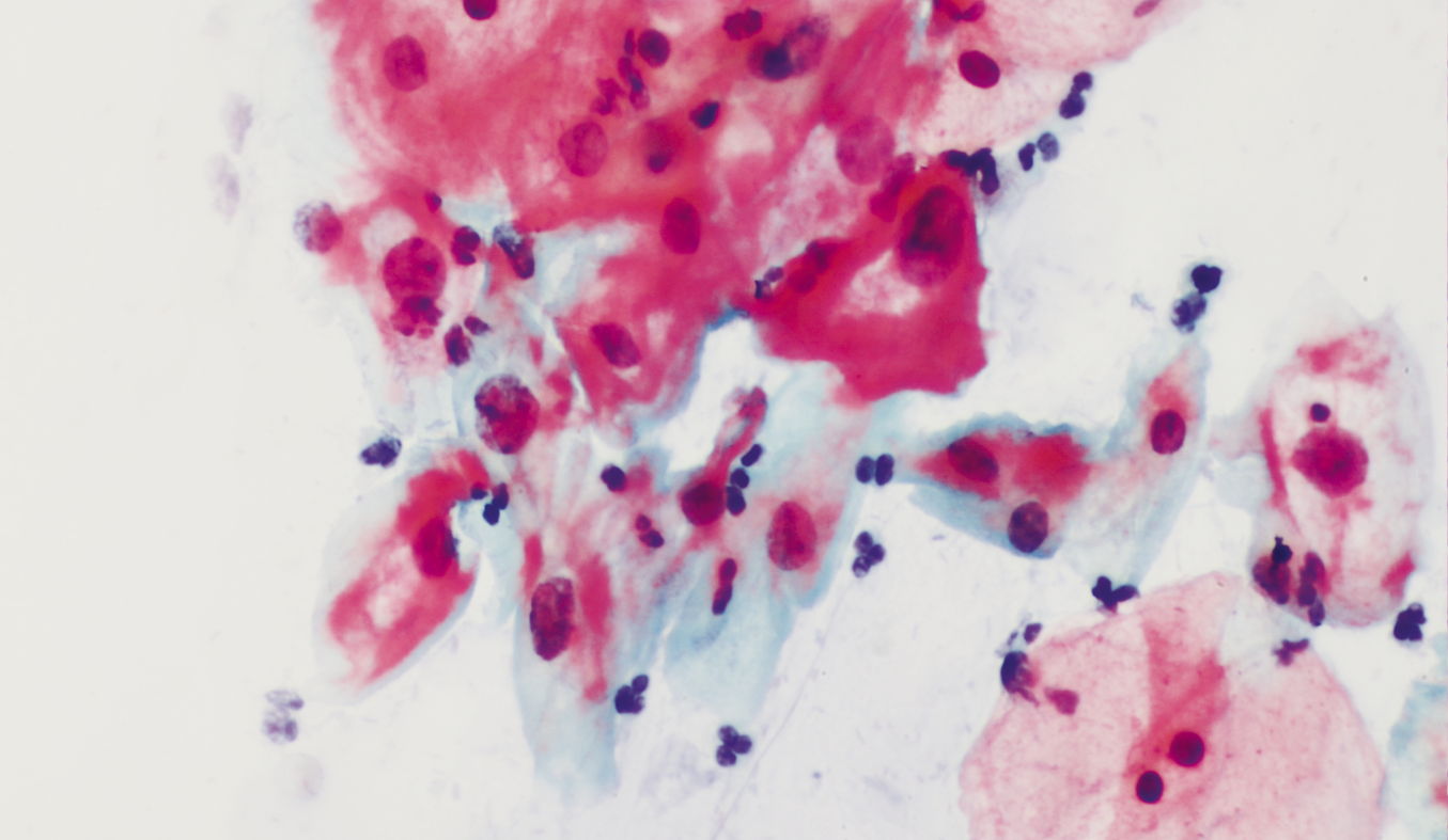
Eosinophilic, mature dyskaryotic cells and koilocytes of squamous epithelium in a 28-year-old patient.

Eosinophilic, mature dyskaryotic cells and koilocytes of squamous epithelium in a 28-year-old patient.

 

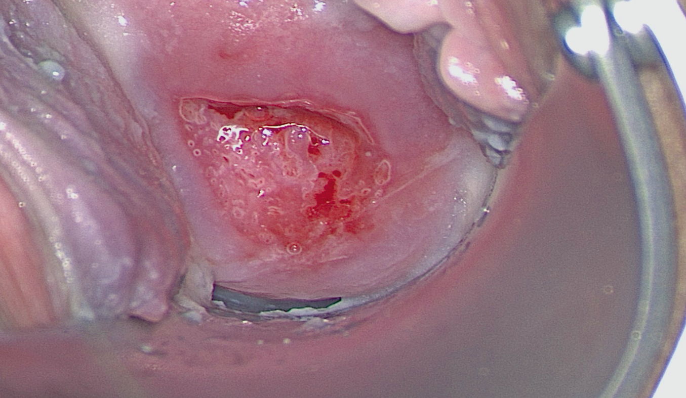
Atypical transformation zone type 1, minor change.

Atypical transformation zone type 1, minor change.

 

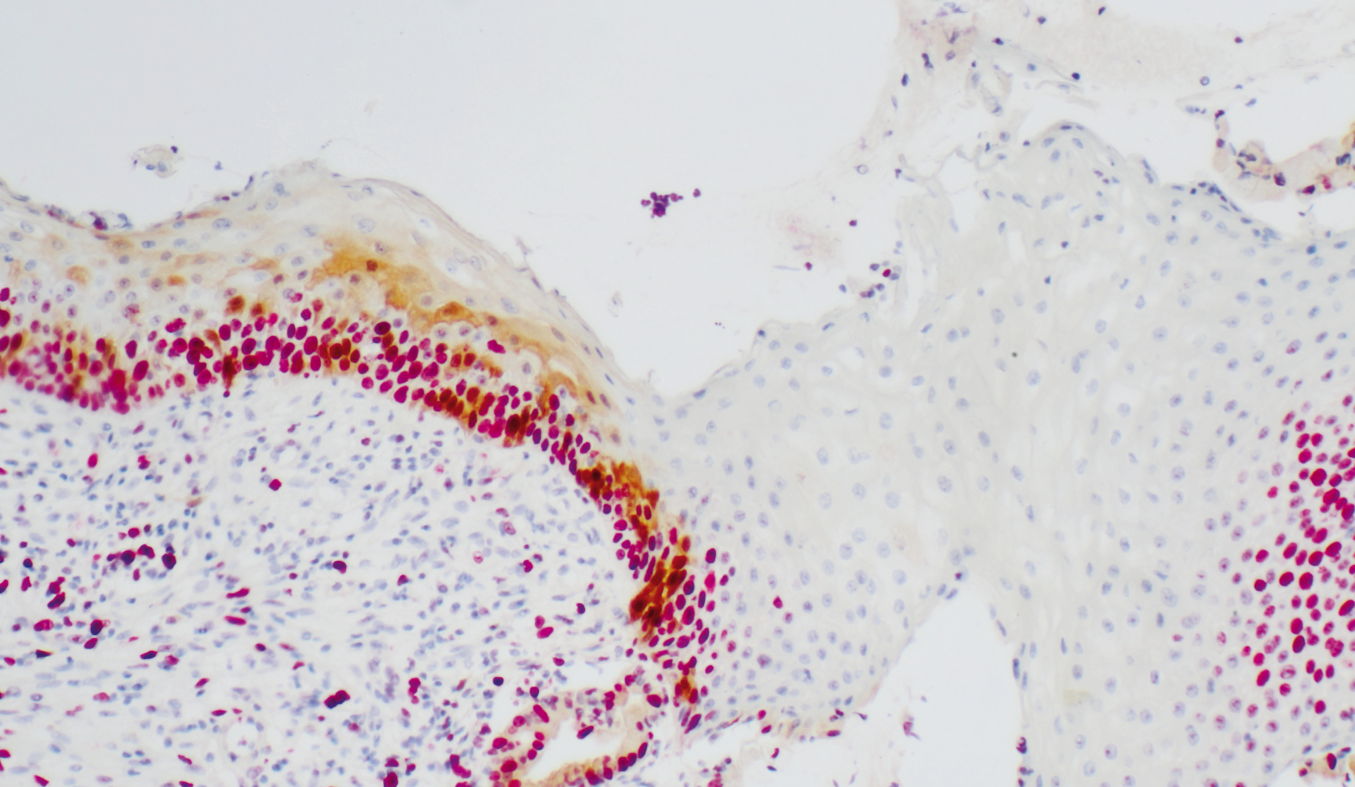
CIN 1. p16&Ki67

CIN 1. p16&Ki67