Secondary Prevention of Cervical Cancer

Class I – Normal or unsuspicious findings

 

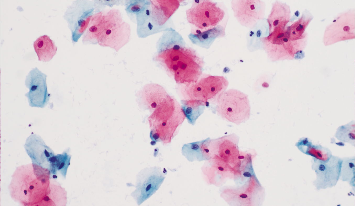
Eosinophilic and basophilic epithelial squamous cells with normal nuclear-cytoplasmic ratio in 28-year-old patient.

Eosinophilic and basophilic epithelial squamous cells with normal nuclear-cytoplasmic ratio in 28-year-old patient.

 

Typical transformation zone type 1 with ectopy.

Typical transformation zone type 1 with ectopy.

 

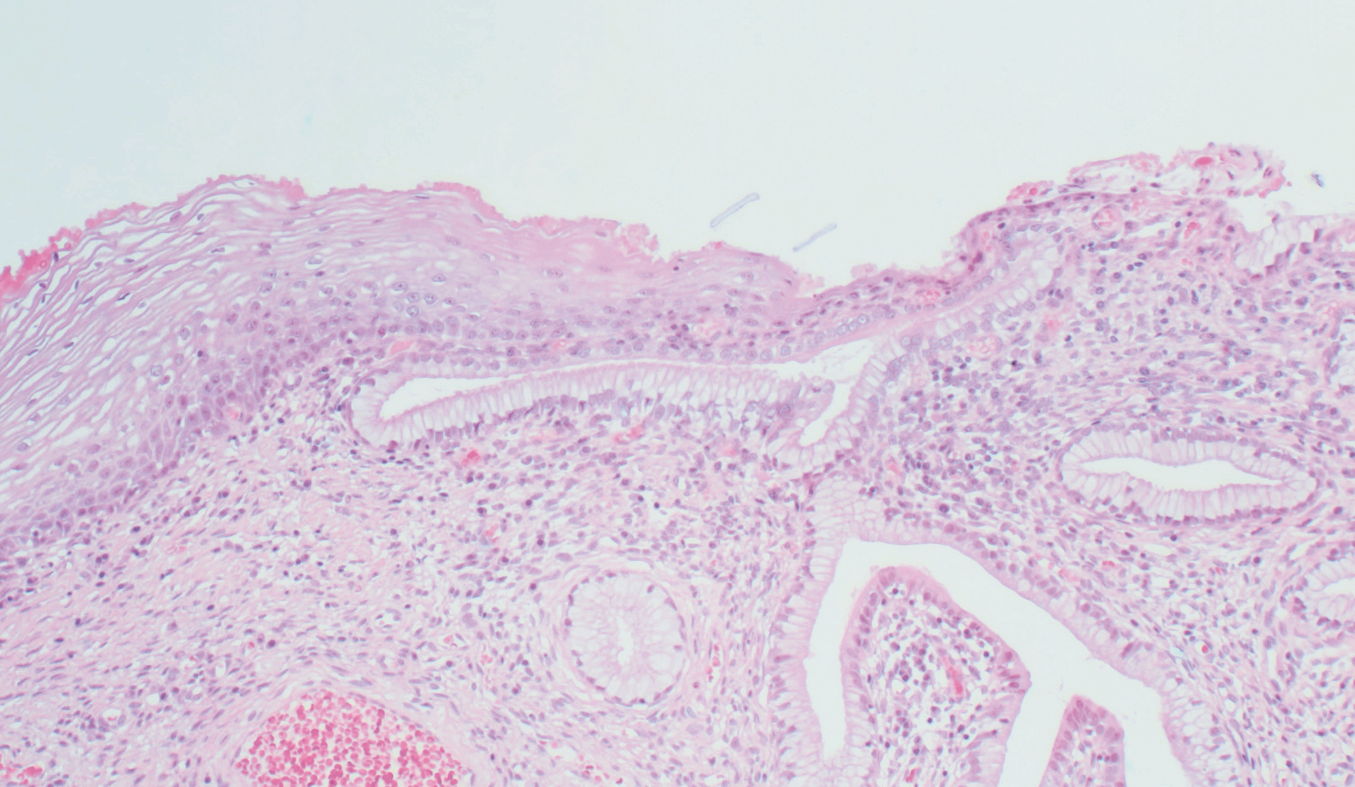
Normal non-keratinizing squamous and columnar epithelium. H&E

Normal non-keratinizing squamous and columnar epithelium. H&E