Secondary Prevention of Cervical Cancer

Class 0 – Inadequate sample

 

No representative material in 32-year-old patient.

No representative material in 32-year-old patient.

 

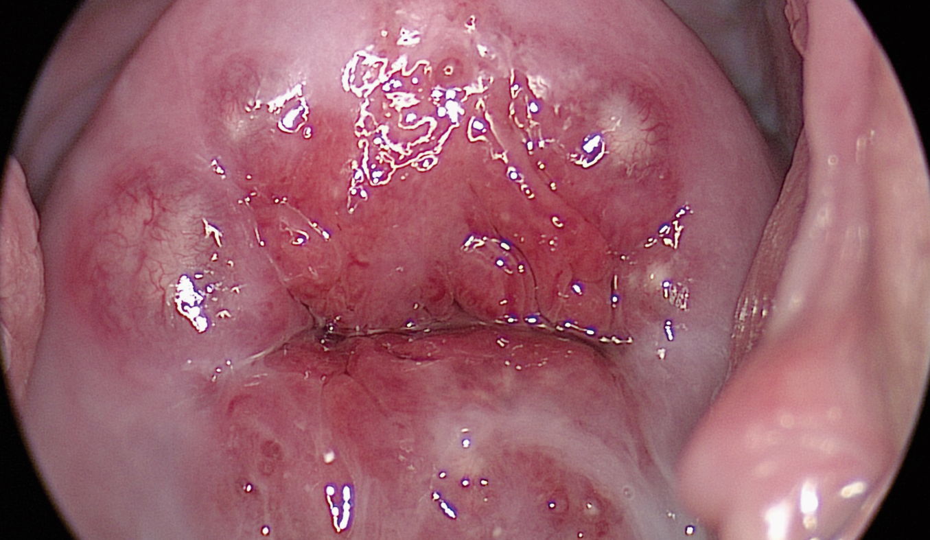
Typical transformation zone type 1 with Ovula Nabothi.

Typical transformation zone type 1 with Ovula Nabothi.

 

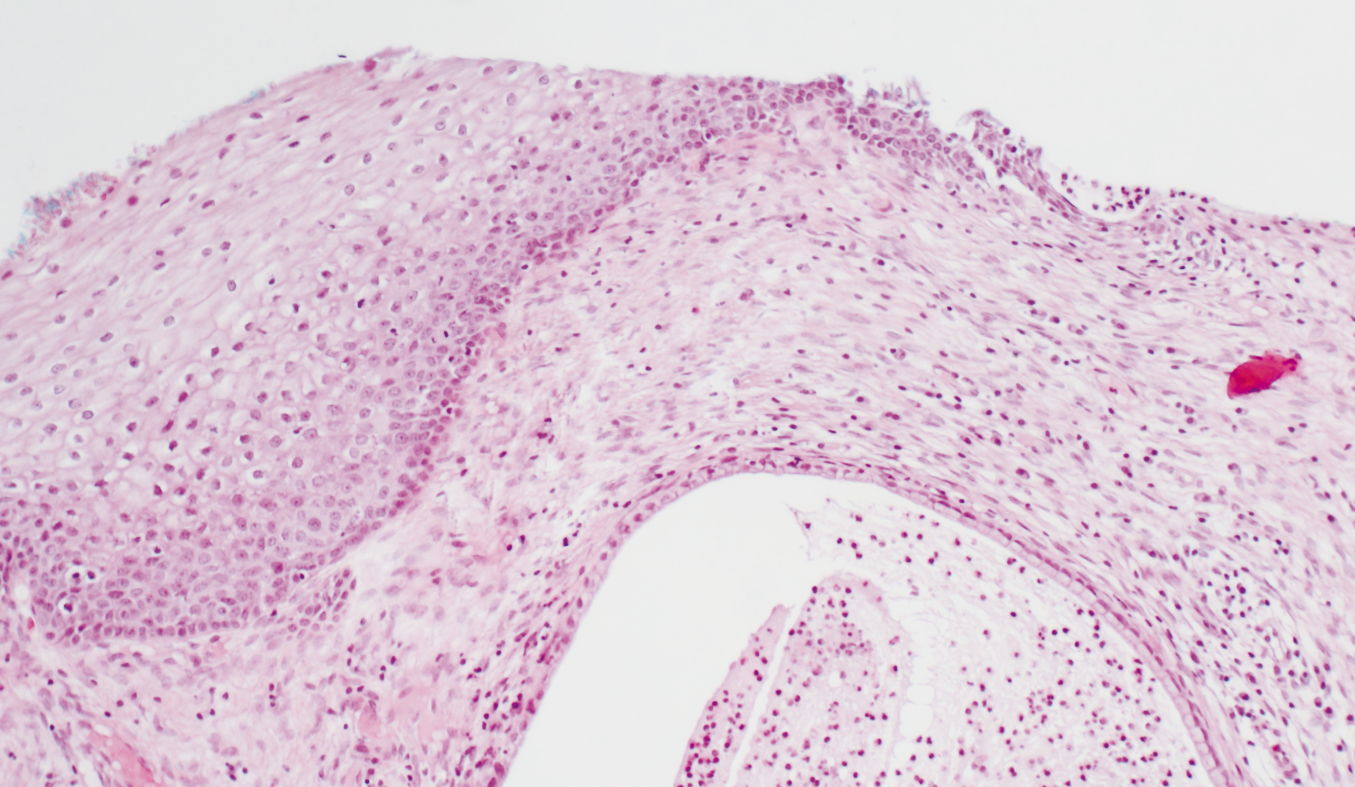
Normal non-keratinizing squamous and columnar epithelium. H&E

Normal non-keratinizing squamous and columnar epithelium. H&E