
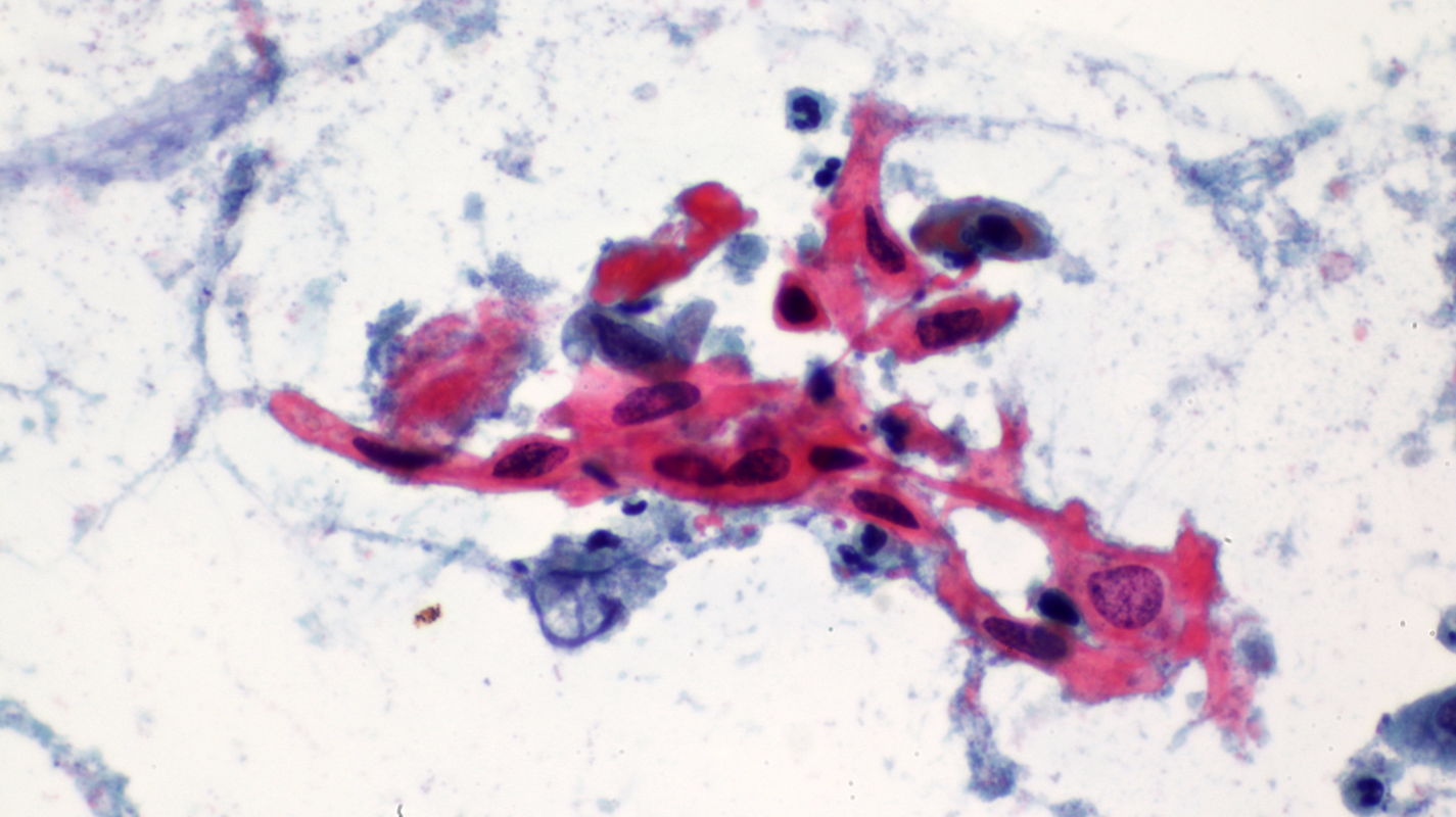
Example of class V-p:
Eosinophilic squamous epithelial tumor cells with marked pleomorphism, anisokaryosis, hyperchromasia, and a dirty background in a 65-year-old patient. Colposcopic examination showed an atypical transformation zone suspicious for invasive cancer. Biopsy revealed invasive squamous cell carcinoma histologically.

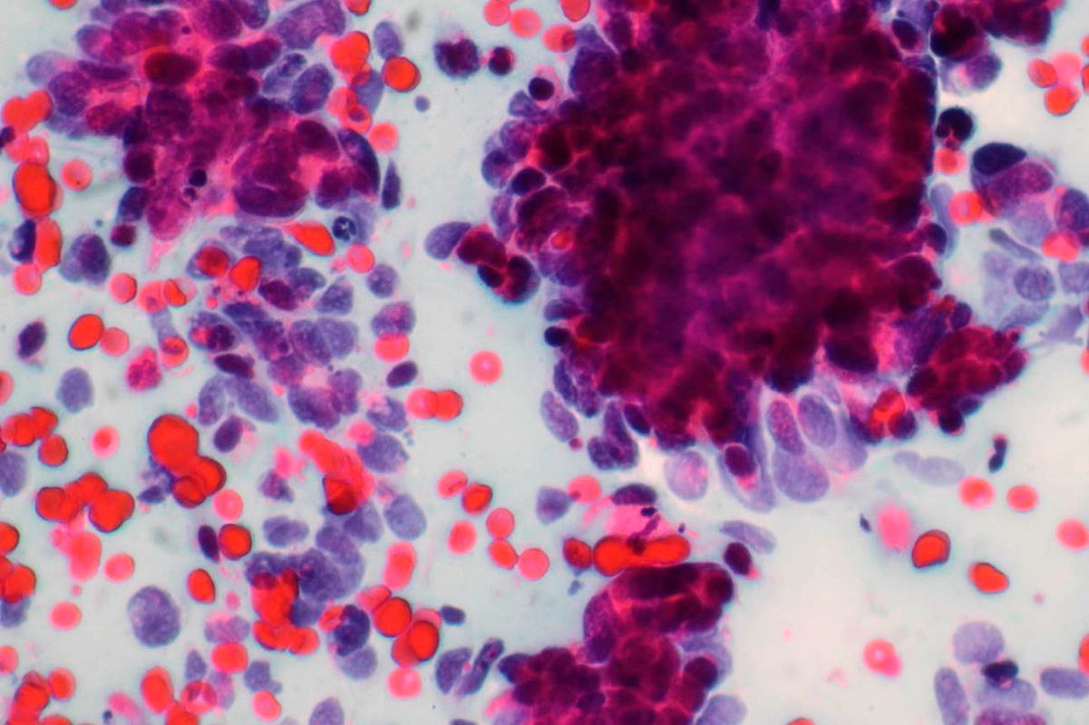
Example of class V-g:
Eosinophilic tumor cells of endocervical glandular epithelium with marked pleomorphism and hyperchromasia in a 52-year-old patient. Colposcopic examination showed a T-zone type 3. Histopathologic evaluation of endocervical curettage revealed invasive adenocarcinoma.

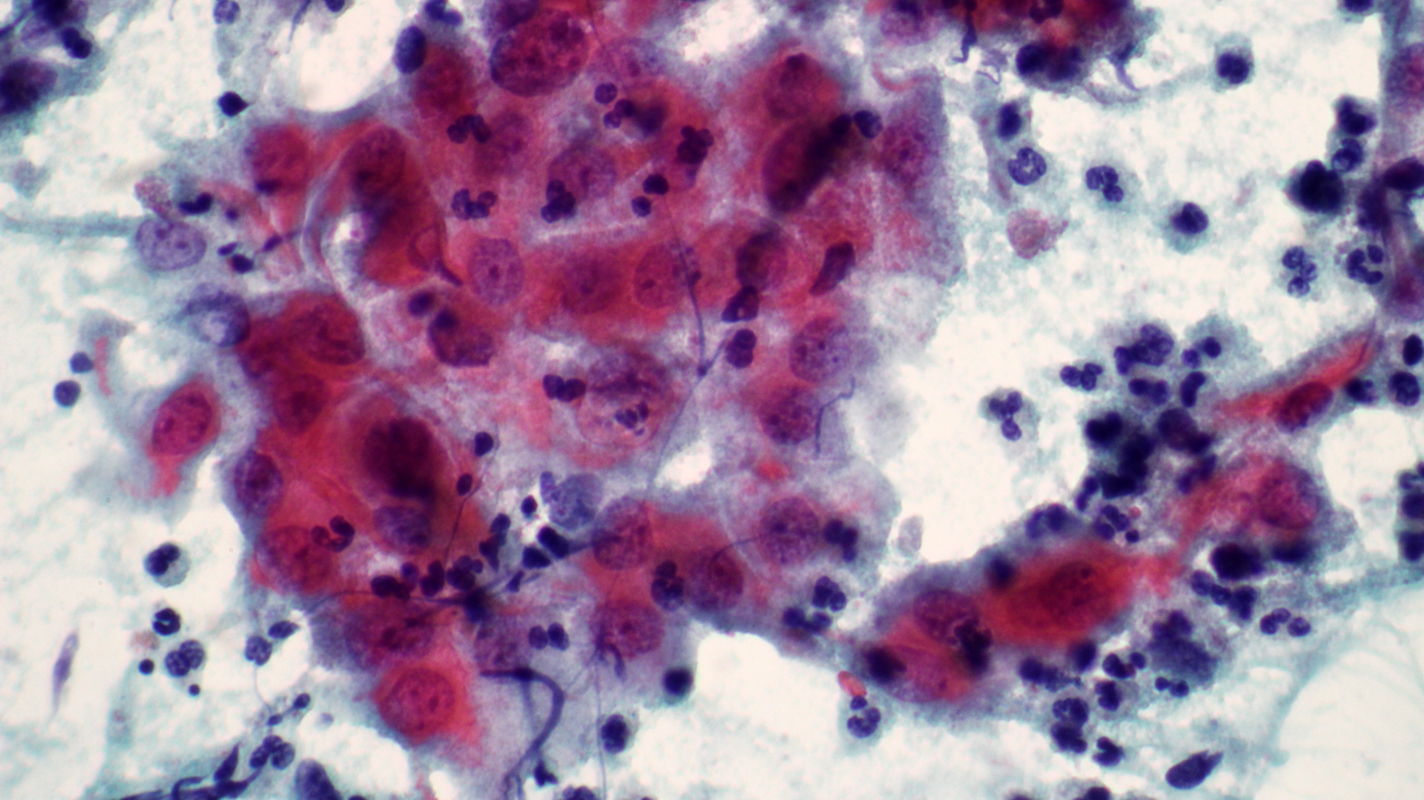
Example of class V-e:
Eosinophilic tumor cells of endometrial glandular epithelium with marked hyperchromasia in a 49-year-old patient.
Colposcopic examination showed a T-zone type 3. Histopathologic evaluation of hysteroscopic biopsy revealed endometrial carcinoma G2.

Example of class V-x:
Eosinophilic tumor cells with marked hyperchromasia and macronucleoli in a 73-year-old patient with rectal carcinoma that had spread to the vagina.