
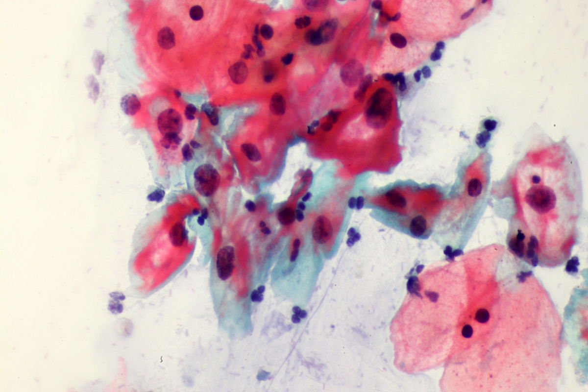
Example of class IIID1:
Eosinophilic, mature dyskaryotic cells and koilocytes of squamous epithelium in a 31-year-old patient. Colposcopic examination showed an atypical T-zone type 1 with minor change and CIN 1 on biopsy.

Example of class IIID2:
Eosinophilic, moderately mature dyskaryotic squamous epithelial cells in a 29-year-old patient. Colposcopic examination showed an atypical T-zone type 2 with major change and CIN 2 on biopsy.