
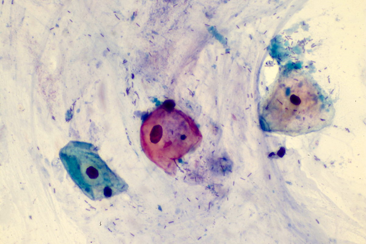
Example of class II-p:
Eosinophilic and basophilic squamous epithelial cells with an increased nuclear-cytoplasmic ratio in a 34-year-old patient. Cytology at 6 months’ follow-up was normal.

Example of class II-g:
Basophilic glandular epithelial cells of the endocervix with an increased nuclear-cytoplasmic ratio in a 31-year-old patient.

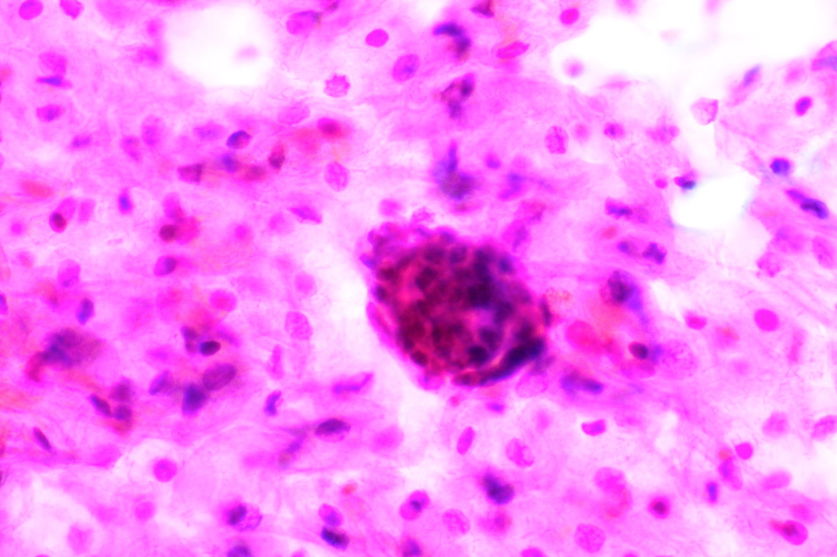
Example of class II-e:
Syncytium of eosinophilic glandular epithelial cells of the endometrium with an increased nuclear-cytoplasmic ratio in a 48-year-old patient, 3 weeks after her last menstrual period. Office hysteroscopy showed a normal appearing uterine cavity with normal mucosa. Endometrial biopsy confirmed normal endometrium.